「粉体流動性を"瞬間ジェット"で測る! 湿度影響を高感度に検出する新評価法」― 従来困難だった小試料・高速計測を実現 ―



 日本工業大学基幹工学部機械工学科・小林和也助教、神保孔明(機械工学科2025年3月卒業)、名古屋工業大学電気・機械工学類・武藤真和助教、東京都立大学大学院理学研究科・栗田玲教授らの研究グループは、湿度に応じて変化する粉体の流動性を、わずか数グラム・数ミリ秒で定量評価できる新手法を開発しました。本研究では、粉体表面に短い衝撃を与え、その瞬間に立ち上がる「粉体ジェット」(注1)の高さと速度を解析することで、粒子間の付着力や凝集の程度を高感度に検出できることを示しました。
 従来の粉体レオメーターや静止角法などでは、数百グラム規模の試料や複雑な装置を必要とし、湿度による変化をその場で測定することは困難でした。今回の手法では、約12 mLの試料量で実験が可能で、湿度によるわずかな付着力の変化も、ジェットの高さ・形状から直感的かつ定量的に捉えられます。また、得られた結果は粒子径や湿度に応じた粉体の凝集挙動を精密に反映しており、製薬・電池・食品など湿度に敏感な粉体プロセスの品質管理や設計指針として活用できることが期待されます。本研究は、粉体工学における「簡便・迅速・高感度」な評価技術として、新たな産業応用への展開を拓くものです。
 本研究成果は、10月24日付けでElsevierが発行する英文誌Materials & Designに発表されました。本研究の一部は、日本学術振興会科学研究費補助金(JP24K17024)の支援を受けて行われました。




【本研究のポイント】
1. 粉体層に短い衝撃を与えて生じるジェットの高さ・速度から、湿度による付着力の変化を高感度に検出しました。
2. 試料量は約12 mL(数グラム)で済み、既存の粉体レオメーターや静止角法よりも迅速・簡便・再現性が高い評価を実現しました。
3. ジェット高さが80%を超える湿度で急減するなど、湿度による粉体の流動性を即座に定量化しました。
4. 微量試料での高精度測定が可能なため、材料開発や品質管理の新たなツールとして活用が期待されます。

【研究の背景】
 粉体材料は医薬品・食品・電池材料など多くの産業で用いられていますが、その流動性は湿度などの環境条件によって大きく変化します。湿度が高まると粒子表面に微量の水分が付着し、液架橋力(注2)が生じて粒子同士が凝集しやすくなります。その結果、粉体の流れやすさが低下し、製造や輸送プロセスで詰まりや不均一混合が起こるなど、品質に重大な影響を与えることがあります。
 従来、粉体の流動性評価には粉体レオメーターや安息角法(注3)が用いられてきましたが、これらの手法は数百グラム規模の試料と複雑な装置を必要とし、また測定環境を一定の湿度条件に保つことが困難でした。そのため、湿度変化による付着力の影響を高感度・短時間で検出することは長らく難しい課題でした。
 本研究では、この課題を解決するために、粉体に短い衝撃を与えて発生する「インパルスジェット」に着目しました。衝撃後に粉体が上方へ噴き上がる高さや速度は、粒子間の付着力の強さに敏感に反応することがわかっており、わずかな湿度差による流動性の変化を可視化できる可能性があります。本研究はこの発想をもとに、シンプルかつ小試料で高精度な粉体評価法の確立を目指しました。

【研究の詳細】
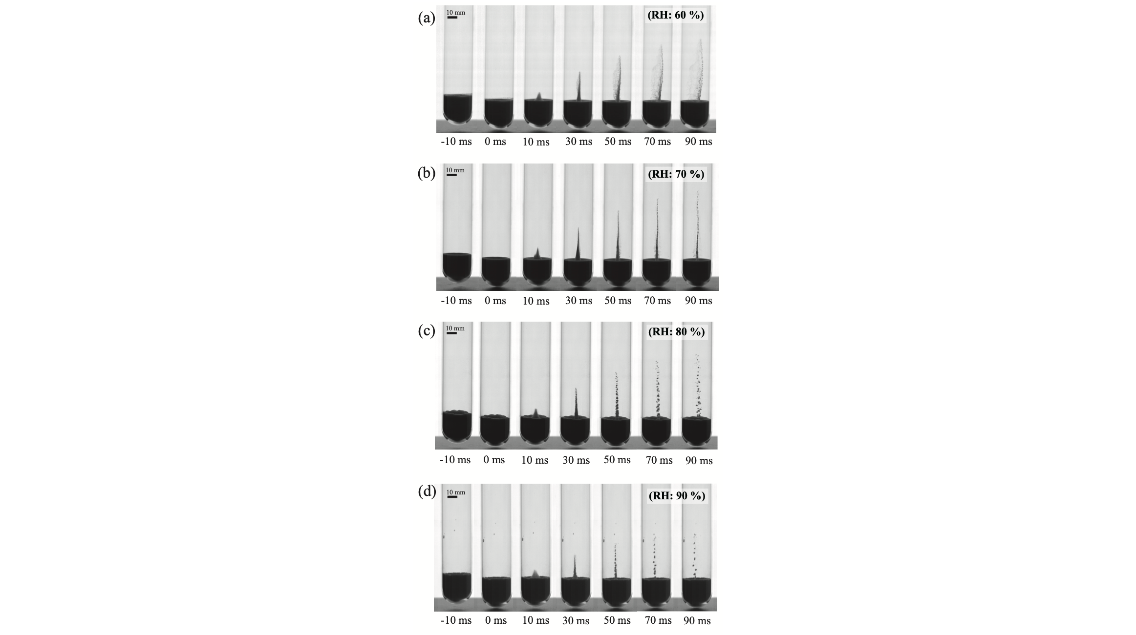
 本研究では、ガラスビーズを用いた粉体層に凹面形状の穴を形成し,下から衝撃を与え、その後に生じる粉体ジェットの挙動を高速カメラで撮影、解析することで、湿度による粉体の付着力変化を定量化しました。粉体層を密閉した試験管を自由落下させ、下部の金属板に衝突させて衝撃を与えるシンプルな構成を採用しました(図1)。このとき生じるジェットの高さ・速度を、湿度条件(60〜90%RH)ごとに比較しました。
 その結果、すべての湿度条件で中心から細い粉体ジェットが立ち上がることが確認されました(図2)。湿度の上昇とともにジェット速度が顕著に減少しました。具体的には、最大瞬間速度は湿度60〜70%で約1.4 m/s、80%で1.2 m/s、90%では1.0 m/sに低下しました。また、ジェット高さ(L_max)は70%以下ではほぼ一定でしたが、80%以上で急減し、湿潤環境下では粉体が凝集して十分な噴き上げを形成できないことが明らかになりました。
 これらの結果から、粉体ジェットの高さや速度が粒子間付着力の強さを鋭敏に反映することが示されました。従来の静的評価法では捉えにくかった湿度応答性を、わずか数グラムの試料・数ミリ秒の観測で定量評価できることを実証し、粉体の流動性評価における新たな動的指標を提示しました。

【研究の意義と波及効果】
 本研究は、粉体の「流れにくさ」をわずか数グラムの試料と数ミリ秒の現象から高感度に測定できる、新しい評価手法を確立した点に意義があります。湿度の上昇により粉体間に生じるわずかな付着力の変化が、ジェットの高さや速度の低下として直ちに現れることを明らかにしました。
 このように、従来の粉体レオメーターや安息角法では困難だった微小な環境変化による流動性の変化を迅速かつ定量的に把握できるため、製薬・電池・食品などの粉体を扱う産業において、品質管理や材料設計の効率化が期待されます。
 さらに本手法は、粉体の流動性を直接観察・解析する新しいアプローチであり、粉体工学の基礎研究から応用開発までを橋渡しするツールとしても大きな可能性を持っています。

【用語解説】
専門用語の解説
(注1) 粉体ジェット:凹面形状を砂が滑り落ち中心でぶつかることで、上部にジェット状に飛び出す現象。
(注2) 液架橋力:液体が砂同士を繋ぐ形になって、砂の間で引力がはたらいている状態になる。その引力のこと。
(注3) 安息角:砂を平坦な上に落としていくと、砂山が形成される。その山の傾斜角度のこと。摩擦が大きい砂や表面形状が粗いと安息角は大きくなる傾向がある。

【発表論文】
"Humidity-Responsive Jetting for Flowability Assessment of Fine Powders"
Kazuya U. Kobayashi, Komei Jinbo, Masakazu Muto, Rei Kurita
Materials & Design (2025).
https:// doi.org/10.1016/j.matdes.2025.114951
DOI: 10.1016/j.matdes.2025.114951

【問合せ先】
■研究に関すること
 日本工業大学 基幹工学部 助教 小林和也
 Tel: 0480-33-7619 E-mail: kobayashi.kazuya@nit.ac.jp
■大学に関すること
 日本工業大学総合企画室
 Tel: 0480-33-7519 E-mail: kouhou@nit.ac.jp


【リリース発信元】 大学プレスセンター https://www.u-presscenter.jp/

この企業の関連リリース

この企業の情報

組織名
日本工業大学
ホームページ
https://www.nit.ac.jp/
代表者
竹内 貞雄
上場
非上場
所在地
〒345-8501 埼玉県南埼玉郡宮代町学園台4-1-1

検索

人気の記事

カテゴリ

アクセスランキング

  • 週間
  • 月間
  • 機能と特徴
  • Twitter
  • デジタルPR研究所