膠芽腫の画像起源の解明~いつから腫瘍は存在していたのか?~(北里大学)

 北里大学医学部脳神経外科学の重枝諒太助教、柴原一陽准教授、隈部俊宏教授らの研究グループは、広島大学病院臨床研究開発支援センター生物統計室の渡橋靖博士 (前所属:北里大学病院臨床研究部)と共同で、IDH 野生型膠芽腫の画像学的起源は、画像上膠芽腫が疑われる時点よりも 0.83 年前 (月単位にすると約10ヶ月前)であることを、画像及び分子学的解析で明らかにしました。この研究成果は、2026 年1月3日付で、Neuro-Oncology Advances に掲載されました。


■研究成果のポイント
・ IDH野生型膠芽腫の推定される画像学的起源は、画像上で膠芽腫と診断される時点よりも0.83年前(95%信頼区間:0.66-1.10 年)と推定された。
・ OECDデータによると日本のMRI保有数は人口100万人あたり57.39台と非常に高く世界第一位である。必然的に MRI 撮影率も高く、稀ではあるものの膠芽腫発症前の画像の存在する可能性が高く、日本だからこそ遂行できた研究である。
・ EGFR、PTEN、CDKN2Aといったコピー数異常を認めない症例の画像学的起源は約 2.27 年であり、分子学的背景により起源が異なることが示唆された。

■研究の背景
 膠芽腫患者さんやその家族から最も聞かれる質問は、「この腫瘍はいつから頭の中にあったのでしょうか」です。緩徐進行な良性脳腫瘍であれば経時的に画像経過を追うことができ、実際に先行研究ではその腫瘍成長の程度が報告されています。しかし、膠芽腫は極めて進行の早い脳原発悪性腫瘍であり、画像上病変が指摘されれば速やかな治療介入が望まれます。また膠芽腫は 10万人に 6人未満の希少がんになります。そのため、通常は経時的画像経過を追うことはできず、発生起源を推定するための画像データに乏しく、この質問に対する回答はこれまで「不明」でした。
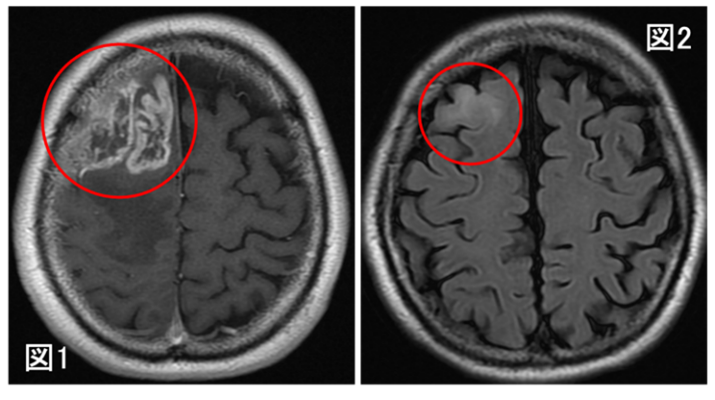
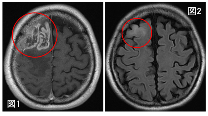
 図1は膠芽腫の典型的な画像所見です。一般的にこのような画像所見を認めれば速やかな治療介入が行われるため、膠芽腫の自然歴を追うことは難しいとされています。しかし、こういった症例においても、過去に何かしら別の理由、例えば脳ドックや頭部外傷、別の脳疾患のフォロー目的などで頭部の画像検査をされていることがあるということに気づきました。その中には過去画像で何も病変がないものもあれば、膠芽腫の芽とも考えられるような微小な病変を認めるものもあり、こういった画像こそが膠芽腫の画像上の起源を推定できるデータになるのではないかと考えました。図2は図1と同一患者の画像ですが、7.5ヶ月前のものであり、微小ではありますが後方視的に見れば異常所見を認めています。

■研究内容と成果
 自験例の膠芽腫全例で、膠芽腫指摘以前に撮影された画像を有する症例群を抽出しました。この群において、統計学的手法を用いて膠芽腫の画像学的起源を推定したところ、画像上診断が確定する0.83年前であることを明らかにしました (図3)。

解析対象:新規に膠芽腫と診断された 312 例の自験例から、何かしらの理由で診断がつく前に画像検査を複数回行っている67例の症例を抽出しました。先行研究において、膠芽腫の分子学的起源 (画像起源と異なり遺伝子異常が始まる起源)は画像診断の2-7年前とされており、画像撮影間隔が2年以上で、且つ腫瘍を疑う病変が指摘されていない症例を除いた上で、最終的に44例の症例を解析対象としました。

画像解析:各症例において、複数回の画像から腫瘍体積を測定しました。その体積とフォロー間隔をlinear radial growth model と呼ばれる混合効果モデルを用いて解析することで各症例における膠芽腫の画像学起源を推定し、最終的に、固定効果の傾きおよび切片とその標準誤差を用いて膠芽腫の画像学的起源をコホート全体を代表する値として推定し、Fiellerの定理により95%信頼区間を算出しました。

分子学的解析:膠芽腫に高頻度に認められる分子異常 (TERT, EGFR, CDKN2A, PTEN)と起源の関連も解析し、EGFR、CDKN2A、PTENのいずれにもコピー数異常を認めない膠芽腫症例での画像起源は 2.27 年と有意に長いことが示唆されました (図4)。

■今後の展開
 本研究で膠芽腫の画像起源を推定できたことにより、長年にわたる患者さんからの質問に対して一つの答えを提示することができました。さらに、①膠芽腫が画像上生まれどのような経過を辿るのかという疾患の一生とも呼べる全体像を得ることができ(図5)、②MRIのフォロー期間の提案が可能であり(0.66年以内)、また、③膠芽腫の悪性性格出現前の早期治療介入の是非にも言及でき、膠芽腫に対する治療管理戦略の一助になることが期待されます。今後の課題としては、病態不明の異常信号がMRIで指摘された際、将来膠芽腫を発生するリスクが高いのかを事前に判別できるようにすることが必要です。

■論文情報
掲載誌:Neuro-Oncology Advances
論文名:Retrograde Longitudinal Imaging Analyses of IDH-Wildtype Glioblastoma Reveal
    Its Clinical Timeline from Radiological Birth to Death
著 者:Ryota Shigeeda, Ichiyo Shibahara, Yasushi Orihashi, Yoko Tanihata, Kazuko Fujitani,
    Mariko Toyoda, Yuri Hyakutake, Hajime Handa, Madoka Inukai, Sumito Sato,
    Mitsuhiro Shinoda, Hideto Komai, Kohei Uemasu, Takashi Kiga, Hiroyuki Koizumi,
    Daisuke Yamamoto, Kazuhiro Miyasaka, Tomoko Sekiguchi, Chihiro Matsumoto, Mari Kusumi,
    Hidehiro Oka, Takuichiro Hide, Toshihiro Kumabe
DOI:https://doi.org/10.1093/noajnl/vdaf275
・本研究はJSPS科研費 (18K16569, 22K09291, and 25K22666)、SRL、横山臨床薬理、金原一郎記念医学医
 療振興財団、赤枝医学研究財団、上原記念生命科学財団、武田科学振興財団、大樹生命厚生財団、
 All Kitasato Project Studyの助成を受けたものです。

■問い合わせ先
≪研究に関すること≫
 北里大学医学部脳神経外科学
 准教授 柴原一陽
 e-mail:shibahar@med.kitasato-u.ac.jp

≪取材に関すること≫
 学校法人北里研究所 広報室
 〒108-8641東京都港区白金5-9-1
 TEL:03-5791-6422
 e-mail:kohoh@kitasato-u.ac.jp

【リリース発信元】 大学プレスセンター https://www.u-presscenter.jp/

この企業の関連リリース

この企業の情報

組織名
北里大学
ホームページ
https://www.kitasato-u.ac.jp/
代表者
砂塚 敏明
上場
非上場
所在地
〒108-8641 東京都港区白金5-9-1

検索

人気の記事

カテゴリ

アクセスランキング

  • 週間
  • 月間
  • 機能と特徴
  • Twitter
  • デジタルPR研究所