高強度フルカラー造形が可能な3Dインクジェットプリンター技術を開発

~意匠性ニーズが高い高強度部材をオーダーメイドで製作~

株式会社リコー(社長執行役員:大山 晃)は、生体適合性を有し、高強度でフルカラー出力が可能なレジン成型物を3Dプリンター*1技術により製造する手法を開発しました。本研究成果は、歯科用補綴物*2やメガネフレームなど、意匠性ニーズが高いオーダーメイド製品への展開が期待できます。
*1 3Dプリンター:設計データをもとにして、特定の材料の2次元の層を自動的に1層ずつ積み重ねていくことによって、所望の立体形状を造形する装置。
*2 歯科用補綴物:虫歯や歯周病などで歯が欠けた場合や失われた場合に補われる人工的な材料。クラウンなどの被せ物や入れ歯が該当する。


今回、当社は、インクジェット技術を採用したマテリアル・ジェッティング方式*3をベースに、フィラーを独自配合したインクを開発し、独自設計したプリンティング・プロセスと組み合わせることで、高強度、高精度、フルカラーを両立した3Dプリンター技術を実現しました。本技術は、さまざまな色調の造形物を高強度かつ高精度で出力できるため、従来の3Dプリンターでは実現できなかった多彩なカラーデザインを可能とします。また、造形物は生体適合性*4を有しているため、歯科用補綴物などの医療応用も可能であり、現在、株式会社コアデンタルラボ横浜で採用され、歯科業界への臨床応用の可能性検討が進められています。当社は、さまざまな業界への展開を視野に入れながら、将来的に欧米への展開を目指して研究開発を進めています。
*3 マテリアル・ジェッティング方式:インクジェットヘッドから噴射した光硬化性樹脂を、紫外線で固めて積層する方式。
*4 生体適合性:生体組織や器官と親和性があり、異物反応や拒絶反応などを引き起こさない性質。
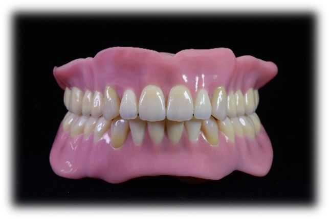
図1
図 1 本技術で造形した入れ歯

1.背景
歯科用補綴物やメガネフレームなどに代表されるオーダーメイド製品は、高品質であることが求められますが、その製作においては、人の手作業に依存する工程が多く、手間とコストが掛かるのが実情です。そのため、3Dプリンターによるオーダーメイド品の製作が期待され、導入の検討が進んでいます。
これまで、3Dプリンターを用いて造形されたレジン成型物の応用例としては、光造形方式*5で造形された義歯やメガネフレーム、フィギュアなどが挙げられます。これらは、それぞれの用途に応じて物性や色調をコントロールする必要があり、既に世界中で実用化されていますが、力学的強度も低いため、高強度が求められる用途では、短期間用途として使用されるに留まっています。また、単色でしか造形できないため、審美性のニーズに対して十分に応えられないのが実情です。一方、オーダーメイド製品をフルカラー造形で製作できる方式としては、インクジェット技術と紫外線硬化樹脂*6を用いたマテリアル・ジェッティング方式が知られています(図2)。この方式は、フルカラー化の観点では非常に有効な方式ですが、造形物の強度が低いため、デザイン試作用途に限定されています。
*5 光造形方式:液体状の光硬化性樹脂を、紫外線レーザーで一層ずつ硬化させて積層していく方式。
*6 紫外線硬化樹脂:紫外線の光エネルギーに反応して液体から固体に化学的に変化する合成樹脂。
図2
図2 マテリアル・ジェッティング方式の概要
(出典:https://www.ricoh.co.jp/3dp/lineup/byMethod/

当社は、インクとプロセスを統合した独自技術により、マテリアル・ジェッティング方式の強度を改良し、高強度とフルカラー造形の両立を実現しました。この技術により、高強度・高精度・高審美性を兼ね備えた3Dプリンターが実現可能となります。

2.研究手法と成果
当社は、マテリアル・ジェッティング方式をベースに、インクやプロセスを改良することで、高強度なフルカラー造形の実現に挑戦しました。本方式で使用するインクには、独自のフィラー*7を添加することで強度を大幅に向上させつつ、インクジェットノズルからの吐出を可能にする特性を保持しています。また、フィラーを含有した高強度なクリアインクとホワイトインクをメインに使用し、カラーインクは高濃度かつ所定の位置に少量配置することで、高強度とフルカラーの両立を実現しています。さらに、モノマー*8の配合を最適化することで、造形物の高い安全性を担保し、JIS T 10993-1に基づく生物学的安全性試験*9においても、問題がないことを確認しています。
*7 フィラー:充填剤となる粒子。
*8 モノマー:高分子(ポリマー)を構成する単位分子。
*9 生物学的安全性試験:開発中の医療機器や製品が人体や環境に対して安全であるかどうかを検証する試験。
図3
図3 独自のマテリアル・ジェッティング方式の技術概略

また、当社のマテリアル・ジェッティング方式3Dプリンターには、リコー製の6つのインクジェットヘッドが搭載されており、全てのインクが紫外線により硬化します。それぞれのインクジェットヘッドから、適切な量のインクを所定の場所に吐出し、紫外線を照射してインクを硬化させ、これらの工程を繰り返すことで、所望の色調を有する造形物が得られます。カラーインクはイエロー、マゼンタ、シアンの3色で構成されており、一般的なオフィスプリンターと同様に、幅広い色調の再現が可能です。
図4
図4 造形物の色調バラエティ
図5


図5 印字の微細性(厚み1mmのクリア造形物内部にカラーインクで描画)
(出典:https://jp.ricoh.com/technology/tech/132_high-strength_full-color_3D_printer

このように、本技術では高強度、高精細、高審美性を兼ね備えているだけでなく、生体適合性も有していることから、一般産業界への展開に留まらず、医療業界への展開も期待されます。特に、審美性が求められるパーツにおいては非常に有用な技術であり、一例として、現在、株式会社コアデンタルラボ横浜にて採用され、薬事認証を取得のうえ、歯科業界への臨床展開が進められています。
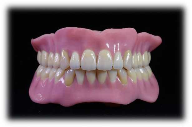
歯科における優位性としては、現在市販されている歯科用3Dプリンターの中で最も高い力学的強度を有している点や、歯特有の色調グラデーションを再現できる点が挙げられ、仮歯に留まらず、長期使用を想定した差し歯(小臼歯まで)としての展開も可能となりました。さらに、色調の異なるパーツを一括で同時に造形できるため、歯と歯肉が一体化した入れ歯を一括で造形することができ、歯と歯肉の境界も非常に綺麗な状態で仕上がります(図6)。
図6①図6②
図6 本技術で造形した入れ歯
(出典:https://jp.ricoh.com/technology/tech/132_high-strength_full-color_3D_printer

3.今後の期待
3Dプリンターによるオーダーメイド品の製作には、力学的強度の不足や、色調を自由にコントロールできないといった課題があり、適用できるアプリケーションには限界がありました。本技術は、インクとプロセスを統合した独自技術により、マテリアル・ジェッティング方式の強度を改良し、高強度なレジン造形物をフルカラーで出力することを可能にします。これにより、従来のデザイン試作用途に留まらず、製造用途としての可能性も秘めており、メガネフレームなどのボディフィット品や、エピテーゼ*10などの人工装具への展開も見込まれます。個々のニーズに合わせた高審美性パーツのオーダーメイド製造手段として、本技術のさらなる展開が期待されます。
*10 エピテーゼ:事故や病気、先天奇形などで失われた身体の一部を補う人工の装具。

<本技術に関するお客様の問い合わせ先>
技術統括部 先端技術研究所 高強度MJ造形技術問い合わせ窓口
zjp_mj_inquiry@jp.ricoh.com

■関連情報
本件に関する論文情報
Hiroyuki Naito, Yuki Shingai, Noriaki Okada (2024) Fabricating high‑strength color resin composite via material jetting using ink with added fillers. Int. J. Adv. Manuf. Tech., 135: 3765-3776.
https://doi.org/10.1007/s00170-024-14709-y

高強度フルカラー造形が可能な3Dプリンター
https://jp.ricoh.com/technology/tech/132_high-strength_full-color_3D_printer
本件に関するお問合わせ先
<本技術に関するお客様の問い合わせ先>
技術統括部 先端技術研究所 高強度MJ造形技術問い合わせ窓口
zjp_mj_inquiry@jp.ricoh.com

<報道機関からのお問い合わせ先>
株式会社リコー 広報室
E-mail:koho@ricoh.co.jp Tel:050-3814-2806
東京都大田区中馬込1-3-6

この企業の関連リリース

この企業の情報

組織名
株式会社リコー
ホームページ
https://jp.ricoh.com/
代表者
大山 晃
資本金
13,530,000 万円
上場
(旧)東証1部,東証プライム
所在地
〒143-8555 東京都大田区中馬込1丁目3-6
連絡先
03-3777-8111

検索

人気の記事

カテゴリ

アクセスランキング

  • 週間
  • 月間
  • 機能と特徴
  • Twitter
  • デジタルPR研究所